1 in 4 TB cases globally comes from India: WHO report

Health

By Sumit Jha

Oct 30, 2024

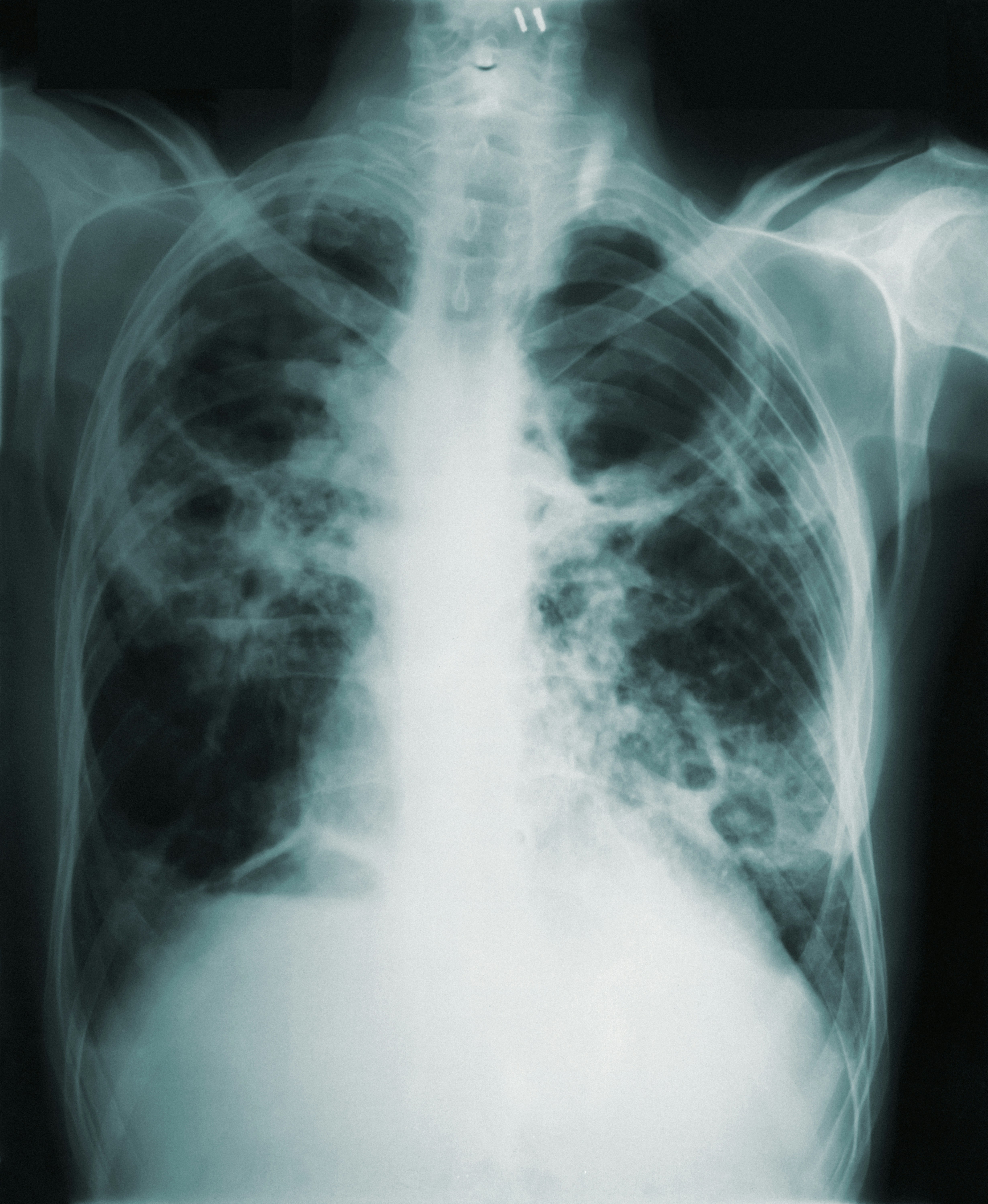
India accounts for one in four cases of tuberculosis (TB) globally, according to a new report by the World Health Organization (WHO).

Health

Five countries contributed to 56 perent of TB cases—India (26 percent), Indonesia (10 percent), China (6.8 percent), the Philippines (6.8 percent), and Pakistan (6.3 percent).

Health

Apart from contributing the highest number of cases, India also has the highest number of multi-drug-resistant TB (MDR-TB) cases worldwide.

Health

The WHO further revealed that around 8.2 million people were newly diagnosed with TB in 2023—the highest recorded figure since WHO began global TB monitoring in 1995. 

Health

According to the report, 55 percent of those who developed TB were men, 33 percent were women, and 12 percent were children and young adolescents.

Health

This marks a significant increase from the 7.5 million cases reported in 2022, positioning TB once again as the leading infectious disease killer in 2023.

Health